[创伤骨科] 【正骨技术】“能保守不开刀”正骨妙手助力老伯早“健”步 日期:2026-01-08 11:45:50 点击: 好评:0
...
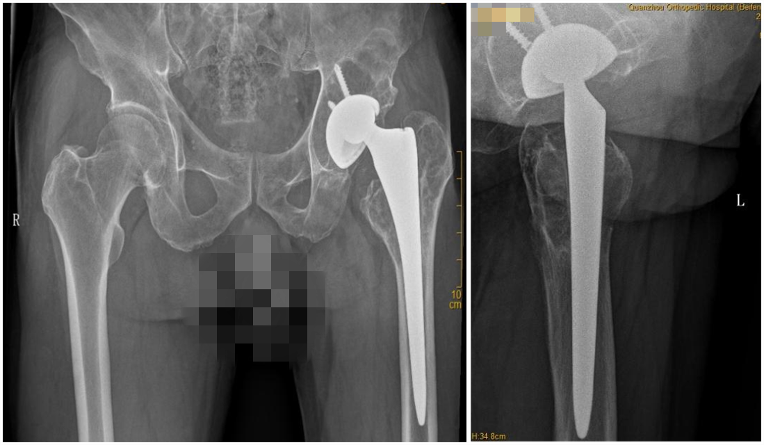
[关节科] 【正骨科普】换了髋关节十几年,如今却行走困难……专家提醒:这个“保养” 日期:2026-01-06 17:04:00 点击: 好评:0
...
[创伤骨科] 【正骨暖心】跨越半个地球!旅非侨胞赴泉求医,这家医院妙手解沉疴 日期:2025-12-25 11:46:00 点击: 好评:0
...
[创伤骨科] 【正骨暖心】无痛整复治疗骨折,正骨人有“绝活”…… 日期:2025-12-17 11:31:00 点击: 好评:0
...
[疾病专题] 【正骨技术】脊柱严重畸形,麻醉如何“破局”?我院成功护航患者完成髋关节 日期:2025-12-11 15:19:00 点击: 好评:0
...
[颈椎病] 【正骨科普】翻身拿手机瞬间“瘫”了!她身上这毛病,很多人也有… 日期:2025-12-10 15:15:00 点击: 好评:0
...
[小儿骨科] 【正骨暖心】接连三面锦旗,都点赞“镜子技术”?揭秘小儿骨科里的“钥匙孔 日期:2025-12-02 15:04:00 点击: 好评:0
...
[手外科] 【正骨暖心】9小时通宵奋战!我院手外科高难度“断指重生术”获赞誉 日期:2025-11-18 14:58:00 点击: 好评:0
...
[颈椎病] 【正骨技术】肩膀疼竟是颈椎在“求救”?陈女士的经历揭开真相 日期:2025-09-08 09:56:00 点击: 好评:0
...
[创伤骨科] 【正骨技术】新突破!我院成功实施“拇外翻Spear Plate髓内板矫形术” 日期:2025-09-03 14:57:33 点击: 好评:0
...
...
...
...
...
...
...